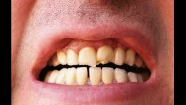
ಮೊಗದ ಅಂದಗೆಡಿಸುವ ಕೊಳಕು ಹಲ್ಲುಗಳು..!
ಮುಖದ ಬಗ್ಗೆ ಕಾಳಜಿ ವಹಿಸುತ್ತಾ ಒಂದಷ್ಟು ಕ್ರೀಮ್, ಪೌಡರ್ ಗಳನ್ನು ಲೇಪಿಸುವ ಹೆಚ್ಚಿನ ಜನರಿಗೆ ಬಾಯಿ ಬಿಟ್ಟ ತಕ್ಷಣ ಕಾಣುವ ಕೊಳಕು ಹಲ್ಲುಗಳು ಮೊಗದ ಅಂದವನ್ನು ಕೆಡಿಸುತ್ತಿವೆ ಎಂಬುದೇ ಗೊತ್ತಾಗುವುದಿಲ್ಲ.
ಬಹಳಷ್ಟು ದುಶ್ಚಟಗಳು ಹಲ್ಲಿನ ಮೇಲೆಯೇ ಪರಿಣಾಮ ಬೀರುತ್ತದೆ. ಎಲೆ ಅಡಿಕೆ ಸೇವಿಸುವ, ಗುಟ್ಕಾ ಜಗಿಯುವ, ಸಿಗರೇಟ್ ಸೇದುವವರ ಹಲ್ಲುಗಳು ಕೊಳಕಾಗಿ ಅವರ ಮುಖದ ಸೌಂದರ್ಯಕ್ಕೆ ಕಪ್ಪು ಚುಕ್ಕೆಯಾಗಿ ನಿಂತು ಬಿಡುತ್ತವೆ. ಹೀಗಾಗಿ ಅವರು ಸುಂದರವಾಗಿ ಕಂಡರೂ ಬಾಯಿಬಿಟ್ಟರೆ ಅವರ ಸೌಂದರ್ಯಕ್ಕೆ ಚ್ಯುತಿ ಎಂಬಂತೆ ಹಲ್ಲು ಕಾಣಿಸಿಬಿಡುತ್ತವೆ. ಜತೆಗೆ ಹುಳುಕು, ಕೊಳಕು ಹಲ್ಲುಗಳು ಮುಖದ ಅಂದಕ್ಕೆ ಮಾತ್ರವಲ್ಲ ಆರೋಗ್ಯಕ್ಕೂ ಮಾರಕವಾಗಿ ಬಿಡುತ್ತವೆ.

ಹಲ್ಲುಗಳ ಮೇಲೆ ಪರಿಣಾಮ ಬೀರುವ ದುಶ್ಚಟಗಳು
ಗುಟ್ಕಾ, ಎಲೆಅಡಿಕೆ, ತಂಬಾಕು ಅಗೆಯುವುದರಿಂದ, ಬೀಡಿ, ಸಿಗರೇಟ್ ಸೇದುವುದರಿಂದ ಹಲ್ಲುಗಳು ನೈಜ ಹೊಳಪು ಕಳೆದುಕೊಂಡು ಕಳಾಹೀನವಾಗುತ್ತಿವೆ. ಇಂತಹ ಹಲ್ಲುಗಳು ನೋಡುಗರಿಗೆ ಅಸಹ್ಯ ಹುಟ್ಟಿಸುವುದರೊಂದಿಗೆ ಅದನ್ನು ಹೊಂದಿದವರಿಗೂ ಕ್ರಮೇಣ ಕೀಳರಿಮೆಯನ್ನು ತರಿಸುತ್ತದೆ. ಹಾಗೆ ನೋಡಿದರೆ ಇತರೆ ಅಂಗಗಳಂತೆ ಹಲ್ಲು ಕೂಡ ಬಹುಮುಖ್ಯವಾಗಿದೆ. ಇದು ನಮ್ಮ ಮುಖಕ್ಕೆ ಸೌಂದರ್ಯ ನೀಡುವುದಲ್ಲದೆ, ಆಹಾರವನ್ನು ಚೆನ್ನಾಗಿ ಅಗೆದು ತಿನ್ನಲು, ಆರೋಗ್ಯ ಕಾಪಾಡಲು ಅತ್ಯಗತ್ಯವಾಗಿದೆ. ಇಂತಹ ಹಲ್ಲುಗಳನ್ನು ನಾವು ಕೆಲವೊಂದು ದುಶ್ಚಟಗಳನ್ನು ಮೈಗೆ ಹತ್ತಿಸಿಕೊಂಡು ಹಾಳು ಮಾಡಿಕೊಳ್ಳುತ್ತಿದ್ದೇವೆ.

ಹಲ್ಲನ್ನು ಹುಳುಕುರೋಗದಿಂದ ಕಾಪಾಡಿಕೊಳ್ಳಬೇಕು
ಮುಖದಲ್ಲಿ ಎದ್ದು ಕಾಣುವ ಅಂಗಾಂಗಗಳಲ್ಲೊಂದಾದ ಹಲ್ಲನ್ನು ಗಟ್ಟಿಯಾಗಿ, ಸುಂದರವಾಗಿ, ಆರೋಗ್ಯಕರವಾಗಿ ಕಾಪಾಡಿಕೊಳ್ಳುವುದು ಪ್ರತಿಯೊಬ್ಬರ ಕರ್ತವ್ಯ. ಸಾಮಾನ್ಯವಾಗಿ ಹಲ್ಲುಗಳು ಒಬ್ಬೊಬ್ಬರಲ್ಲಿ ಒಂದೊಂದು ರೀತಿಯಲ್ಲಿ ಕಂಡು ಬರುತ್ತವೆ. ಕೆಲವರಲ್ಲಿ ಚಿಕ್ಕದಾಗಿ ದಾಳಿಂಬೆ ಹರಳು ಜೋಡಿಸಿಟ್ಟಂತೆ ಕಂಡು ಬಂದರೆ, ಮತ್ತೆ ಕೆಲವರಲ್ಲಿ ಅಗಲವಾಗಿ, ಇನ್ನು ಕೆಲವರಲ್ಲಿ ಉಬ್ಬು, ಮುದ್ದೆ-ಮುದ್ದೆಯಾಗಿರುತ್ತದೆ. ಈ ಎಲ್ಲ ಹಲ್ಲುಗಳು ಹೇಗಿವೆ ಎನ್ನುದಕ್ಕಿಂತ ನಾವು ಅವುಗಳನ್ನು ಹೇಗೆ ಇಟ್ಟುಕೊಂಡಿದ್ದೇವೆ ಎನ್ನುವುದು ಮುಖ್ಯವಾಗುತ್ತದೆ. ಕೆಲವೊಮ್ಮೆ ನಾವು ಎಷ್ಟೇ ಕಾಳಜಿ ವಹಿಸಿದರೂ ಹುಳುಗಳು ಹಲ್ಲುಗಳ ಮೇಲೆ ದಾಳಿ ಮಾಡಿ ಗಟ್ಟಿಯಾಗಿದ್ದರೂ ಹಲ್ಲನ್ನು ಹುಳುಕು ರೋಗಕ್ಕೊಳಪಡಿಸಿ ಬಿಡುತ್ತದೆ. ಜತೆಗೆ ಕರಗಿಸಿ ಬಿಡುತ್ತದೆ. ಹಲ್ಲಿನ ಹುಳುಕುರೋಗ ಮನುಷ್ಯರನ್ನು ಕಾಡಿ ಬಿಡುತ್ತದೆ. ಕೆಲವೊಮ್ಮೆ ಇದು ಸಮಸ್ಯೆಯಾಗಿ ಪರಿಣಮಿಸಿ ಹಲ್ಲನ್ನು ಕೀಳುವ ಹಂತಕ್ಕೆ ಕೊಂಡೊಯ್ಯುತ್ತದೆ. ಹೀಗಾಗಿ ಹುಳುಕನ್ನು ಹೋಗಲಾಡಿಸಿ ಹಲ್ಲನ್ನು ಕಾಪಾಡುವುದು ಕೆಲವೊಮ್ಮೆ ಸವಾಲಿನ ಕೆಲಸವಾಗಿ ಬಿಡುತ್ತದೆ.

ಬಾಯಿಯ ಸ್ವಚ್ಛತೆಗೆ ಆದ್ಯತೆ ನೀಡಿ
ಹಲ್ಲನ್ನು ಕಾಡುವ ಸೂಕ್ಷ್ಮ ಜೀವಿ ಸ್ಟ್ರೆಪ್ಟೊಕಾಕಸ್ ಮ್ಯೂಟ್ಯನ್ಸ್ ಆಗಿದ್ದು, ಇದರ ಬಗ್ಗೆ ನಿರ್ಲಕ್ಷ್ಯ ವಹಿಸಿದರೆ ಇಡೀ ಹಲ್ಲನ್ನೇ ಇನ್ನಿಲ್ಲದಂತೆ ಕರಗಿಸಿಬಿಡುತ್ತದೆ. ಈ ಸ್ಟ್ರೆಪ್ಟೊಕಾಕಸ್ ಮ್ಯೂಟ್ಯನ್ಸ್ ಎಂಬ ಸೂಕ್ಷ್ಮಾಣು ಜೀವಿ ಬಗ್ಗೆ ಹೇಳುವುದಾದರೆ ಇದು ಮನುಷ್ಯನ ಬಾಯಿ ಮತ್ತು ಜೊಲ್ಲಿನಲ್ಲಿ ಒಂದನೇ ವಯಸ್ಸಿನಿಂದಲೇ ಗೋಚರಿಸಲಾರಂಭಿಸುತ್ತದೆಯಂತೆ. ಬಾಯೊಳಗೆ ಹಲ್ಲು ಮೂಡುವ ಸಮಯಕ್ಕೆ ಸರಿಯಾಗಿ ಬಾಯೊಳಗೆ ಪ್ರವೇಶ ಪಡೆಯುತ್ತದೆ. ಬಾಯಿಯ ಸ್ವಚ್ಛತೆ ಕಡಿಮೆಯಾದರೆ ಈ ಸೂಕ್ಷ್ಮಜೀವಿ ತನ್ನ ಚಟುವಟಿಕೆ ಶುರು ಮಾಡಿಕೊಳ್ಳುತ್ತದೆ. ಒಂದು ವೇಳೆ ಬಾಯಲ್ಲಿ ಸಿಹಿ, ಸಕ್ಕರೆ, ಆಮ್ಲ ಪದಾರ್ಥಗಳ ಅಂಶ ಹೆಚ್ಚಾಯಿತು ಎಂದಿಟ್ಟುಕೊಳ್ಳಿ ಆಗ ಈ ರೋಗಾಣು ತನ್ನ ಚಟುವಟಿಕೆಯನ್ನು ತೀವ್ರಗತಿಯಲ್ಲಿ ಆರಂಭಿಸುತ್ತದೆ. ಹೀಗಾಗಿ ನಾವು ಹಲ್ಲಿನ ಬಗ್ಗೆ ನಿರ್ಲಕ್ಷ್ಯ ತೋರದೆ ಸ್ವಚ್ಛತೆ ಕಾಪಾಡಿಕೊಳ್ಳುವುದು ಅಗತ್ಯವಾಗಿದೆ. ಏಕೆಂದರೆ ಹಲ್ಲಿನ ಬಗ್ಗೆ ನಿರ್ಲಕ್ಷ್ಯ ವಹಿಸಿದಷ್ಟೂ ಸೂಕ್ಷ್ಮಾಣು ಹಲ್ಲಿನ ಮೇಲೆ ದಾಳಿ ಮಾಡುವುದು ಹೆಚ್ಚುತ್ತಾ ಹೋಗುತ್ತದೆ.

ಸಿಹಿ ಪದಾರ್ಥ ಉಪಯೋಗ ಕಡಿಮೆ ಮಾಡಿ
ಇನ್ನು ಹಲ್ಲನ್ನು ಕಾಪಾಡಿಕೊಳ್ಳಬೇಕಾದರೆ ಮೊದಲಿಗೆ ಹಲ್ಲಿನ ಸ್ವಚ್ಛತೆಗೆ ಹೆಚ್ಚಿನ ಆದ್ಯತೆ ನೀಡಬೇಕು. ಸಕ್ಕರೆ ಅಂಶದ ಕಾಫಿ, ಟೀ ಸೇವನೆಯನ್ನು ಕಡಿಮೆ ಮಾಡಬೇಕು. ನೀರಿನಲ್ಲಿ ನಿಗದಿತ ಪ್ರಮಾಣಕ್ಕಿಂತ ಪ್ಲೋರೈಡ್ ಅಂಶ ಕಡಿಮೆ ಇರುವುದು, ಸವೆದ, ಮುರಿದ ಹಲ್ಲು, ವಕ್ರಹಲ್ಲು ಸಿಕ್ಕಿ ಬೀಳುವ ಜಾಗಗಳಾಗಿದ್ದು, ಅವುಗಳಿಗೆ ಚಿಕಿತ್ಸೆ ಪಡೆದುಕೊಳ್ಳಬೇಕು. ಅತಿಯಾದ ಅಂಟು ಪದಾರ್ಥ ಸೇವನೆ, ಚಾಕಲೇಟ್, ಐಸ್ಕ್ರೀಂನಿಂದ ದೂರವಿರಬೇಕು. ಸಿಹಿ ಪದಾರ್ಥಗಳನ್ನು ಆದಷ್ಟು ಕಡಿಮೆ ಮಾಡಿ ಹಲ್ಲುಗಳಲ್ಲಿ ಆಹಾರ ಪದಾರ್ಥಗಳು ಸಿಕ್ಕಿ ಹಾಕಿಕೊಂಡರೆ ಬಾಯಿಯನ್ನು ಸ್ವಚ್ಛ ಮಾಡಿ ಆಹಾರದ ಕಣಗಳು ಅಲ್ಲಿ ಉಳಿಯದಂತೆ ನೋಡಿಕೊಳ್ಳಬೇಕು. ದಿನಕ್ಕೆರಡು ಬಾರಿ ಅದರಲ್ಲೂ ಮುಕ್ಕಳಿಸಿ, ಬಾಯಿ ಸ್ವಚ್ಛಗೊಳಿಸಿ ಮಲಗುವ ಅಭ್ಯಾಸ ಮಾಡಿಕೊಂಡರೆ ಒಳ್ಳೆಯದು. ಇನ್ನು ಹಲ್ಲಿನ ಅಂದಗೆಡಿಸುವ ಗುಟ್ಕಾ, ಬೀಡಾ ಅಗೆಯುವುದನ್ನು, ಧೂಮಪಾನ ಮಾಡುವುದನ್ನು ನಿಲ್ಲಿಸಿ ಹಲ್ಲುಗಳನ್ನು ಸ್ವಚ್ಛವಾಗಿಟ್ಟುಕೊಳ್ಳಬೇಕು. ಇದರಿಂದ ಬಾಯಿಯ ದುರ್ವಾಸನೆಯನ್ನು ತಡೆದು ಇತರರಿಗೆ ಮುಜುಗರವಾಗುವುದನ್ನು ತಪ್ಪಿಸಬಹುದಾಗಿದೆ.
-
ವಾಸ್ತು ಮಾತ್ರ ಸಾಲದು! ನಿಮ್ಮ ಜಾತಕವೇ ಯಶಸ್ಸನ್ನು ನಿರ್ಧರಿಸುತ್ತದೆ -
Power Cut: ನಾಳೆ ಮಾ.22 ರಿಂದ 25ರವರೆಗೆ ಈ ಪ್ರದೇಶಗಳಲ್ಲಿ ವಿದ್ಯುತ್ ವ್ಯತ್ಯಯ: ಬೆಸ್ಕಾಂ -
Ration: ಪಡಿತರ ಚೀಟಿದಾರರಿಗೆ ಭರ್ಜರಿ ಗುಡ್ ನ್ಯೂಸ್ ಕೊಟ್ಟ ಕೇಂದ್ರ ಸರ್ಕಾರ -
ಆರ್ಸಿಬಿ ಮತ್ತೆ ಚಾಂಪಿಯನ್ ಆಗೋದು ಫಿಕ್ಸ್, ಹ್ಯಾಜಲ್ವುಡ್ ಅಲಭ್ಯತೆ ತಂಡಕ್ಕೆ ವರದಾನ ಎಂದ ಆರ್.ಅಶ್ವಿನ್ -
March 21 Horoscope: 12 ರಾಶಿಗಳ ಇಂದುದಿನ ಭವಿಷ್ಯ – ಹಣ, ಆರೋಗ್ಯ, ಕೆಲಸದ ಫಲಿತಾಂಶ -
SWR: ವಿಜಯಪುರ-ಮಂಗಳೂರು ಎಕ್ಸ್ಪ್ರೆಸ್ ರೈಲು ಸಂಚಾರದಲ್ಲಿ ಭಾಗಶಃ ರದ್ದು, ವೇಳಾಪಟ್ಟಿ ಗಮನಿಸಿ -
ಜಿಯೋ, ಏರ್ಟೆಲ್ಗೆ ಸೆಡ್ಡು ಹೊಡೆಯಲು BSNL ಮಾಸ್ಟರ್ ಪ್ಲಾನ್: ವೊಡಾಫೋನ್ ಐಡಿಯಾ ಜತೆ ಮಹತ್ವದ ಹೆಜ್ಜೆ -
Rain Alert: ಕರ್ನಾಟಕದಲ್ಲಿ ಮಾ.27ರವರೆಗೆ ಗುಡುಗು ಸಹಿತ ಮಳೆ, ಕರಾವಳಿಗೆ ಉಷ್ಣ ಅಲೆ ಎಚ್ಚರಿಕೆ -
ಯುವತಿಯರ ಜೊತೆ ಸೆಕ್ಯೂರಿಟಿ ಗಾರ್ಡ್ ಭರ್ಜರಿ ಸ್ಟೆಪ್ಸ್: 'ಬೇಬಿ ಡಾಲ್' ಡ್ಯಾನ್ಸ್ ವಿಡಿಯೋ ಸಖತ್ Viral -
Gold Price Today: ಇಂದು ಚಿನ್ನ-ಬೆಳ್ಳಿ ದರದಲ್ಲಿ ದಾಖಲೆಯ ಇಳಿಕೆ, 30000 ರೂ ಕುಸಿದ ಬಿಳಿ ಲೋಹ -
India Rain Forecast: ಮುಂದಿನ 5 ದಿನ ಈ ಭಾಗಗಳಲ್ಲಿ ವ್ಯಾಪಕ ಮಳೆ, ಉಷ್ಣ ಅಲೆ ಎಚ್ಚರಿಕೆ -
ಶೃಂಗೇರಿ ಮಠದಿಂದ ಶಾಲಾ ಮಕ್ಕಳಿಗೆ ಸುವರ್ಣಾವಕಾಶ: 'ರಾಮಾಯಣ ಪರೀಕ್ಷೆ' ಬರೆದು 50 ಸಾವಿರ ರೂ. ನಗದು ಗೆಲ್ಲಿ












Click it and Unblock the Notifications