ದಂತ ಸುಂದರತೆ ಎಂದರೇನು? ಇದನ್ನು ಕಾಪಾಡಿಕೊಳ್ಳುವುದು ಹೇಗೆ?
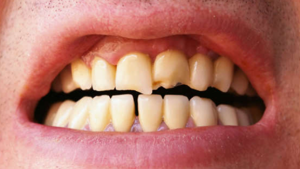
ಬಹಳಷ್ಟು ಜನರು ಸುಂದರವಾಗಿ ಕಾಣುತ್ತಾರೆ. ಆದರೆ ಬಾಯಿಬಿಟ್ಟರೆ ಅವರ ಸೌಂದರ್ಯಕ್ಕೆ ಚ್ಯುತಿ ಎಂಬಂತೆ ಹಲ್ಲು ಕಾಣಿಸಿಬಿಡುತ್ತದೆ. ಹುಳುಕು, ಕೊಳಕು ಹಲ್ಲುಗಳು ಮುಖದ ಅಂದಕ್ಕೆ ಮಾತ್ರವಲ್ಲ ಆರೋಗ್ಯಕ್ಕೂ ಮಾರಕವಾಗಿ ಬಿಡುತ್ತದೆ. ಹೀಗಾಗಿ ದಂತ ಸುಂದರತೆಯನ್ನು ಕಾಪಾಡಿಕೊಳ್ಳುವುದು ಬಹುಮುಖ್ಯವಾಗಿದೆ.
ಇವತ್ತಿಗೂ ಹೆಚ್ಚಿನವರು ಗುಟ್ಕಾ, ಎಲೆಅಡಿಕೆ, ತಂಬಾಕು ಅಗೆಯುವುದರಿಂದ, ಬೀಡಿ, ಸಿಗರೇಟ್ ಸೇದುವುದರಿಂದ ಹಲ್ಲುಗಳು ನೈಜ ಹೊಳಪು ಕಳೆದುಕೊಂಡು ಕಳಾಹೀನವಾಗುತ್ತಿವೆ. ಜತೆಗೆ ದುರ್ವಾಸನೆ ಬೀರುವ ಮೂಲಕ ಹತ್ತಿರದವರಿಗೂ ಕಿರಿಕಿರಿ ಮತ್ತು ಅಸಹ್ಯ ಮೂಡಿಸಿ ಬಿಡುತ್ತದೆ. ಇದೆಲ್ಲವನ್ನು ತಡೆಯಬೇಕಾದರೆ ದಂತದ ಆರೋಗ್ಯವನ್ನು ಕಾಪಾಡಿಕೊಳ್ಳುವುದಕ್ಕೆ ಮೊದಲ ಆದ್ಯತೆ ನೀಡಬೇಕಾಗುತ್ತದೆ.

ಮನುಷ್ಯನಿಗೆ ಇತರೆ ಅಂಗಗಳಂತೆ ಹಲ್ಲು ಕೂಡ ಬಹುಮುಖ್ಯವಾಗಿದೆ. ಇದು ನಮ್ಮ ಮುಖಕ್ಕೆ ಸೌಂದರ್ಯ ನೀಡುವುದಲ್ಲದೆ, ಆಹಾರವನ್ನು ಚೆನ್ನಾಗಿ ಅಗೆದು ತಿನ್ನಲು, ಆರೋಗ್ಯ ಕಾಪಾಡಲು ಸಹಕಾರಿಯಾಗಿದೆ ಇಂತಹ ಹಲ್ಲುಗಳನ್ನು ನಾವು ಕೆಲವೊಂದು ದುಶ್ಚಟಗಳನ್ನು ಮೈಗೆ ಹತ್ತಿಸಿಕೊಂಡು ಹಾಳು ಮಾಡಿಕೊಳ್ಳುತ್ತಿದ್ದೇವೆ ಎನ್ನುವುದರಲ್ಲಿ ಎರಡು ಮಾತಿಲ್ಲ.
ಹಲ್ಲನ್ನು ಕಾಡುವ ಸ್ಟ್ರೆಪ್ಟೊಕಾಕಸ್ ಮ್ಯೂಟ್ಯನ್ಸ್
ಸಾಮಾನ್ಯವಾಗಿ ಹಲ್ಲುಗಳು ಒಬ್ಬೊಬ್ಬರಲ್ಲಿ ಒಂದೊಂದು ರೀತಿಯಲ್ಲಿ ಕಂಡು ಬರುತ್ತವೆ. ಕೆಲವರಿಗೆ ಚಿಕ್ಕದಾಗಿ ದಾಳಿಂಬೆ ಹರಳು ಜೋಡಿಸಿಟ್ಟಂತೆ ಕಂಡು ಬಂದರೆ ಮತ್ತೆ ಕೆಲವರಿಗೆ ಅಗಲವಾಗಿ, ಇನ್ನು ಕೆಲವರಿಗೆ ಉಬ್ಬು, ಮುದ್ದೆಮುದ್ದೆಯಾಗಿರುತ್ತದೆ. ಈ ಎಲ್ಲ ಹಲ್ಲುಗಳು ಹೇಗಿವೆ ಎನ್ನುದಕ್ಕಿಂತ ನಾವು ಹೇಗೆ ಇಟ್ಟುಕೊಂಡಿದ್ದೇವೆ ಎನ್ನುವುದು ಮುಖ್ಯವಾಗುತ್ತದೆ. ಮುಖದಲ್ಲಿ ಎದ್ದು ಕಾಣುವ ಅಂಗಾಂಗಗಳಲ್ಲಿ ಹಲ್ಲು ಕೂಡ ಒಂದಾಗಿರುವ ಕಾರಣ ಅದನ್ನು ಗಟ್ಟಿಯಾಗಿ, ಸುಂದರವಾಗಿ, ಆರೋಗ್ಯಕರವಾಗಿ ಕಾಪಾಡಿಕೊಳ್ಳಬೇಕು ಎಂಬುದೇ ಬಹುಮುಖ್ಯವಾಗಿದೆ.

ಕೆಲವೊಮ್ಮೆ ನಾವು ಎಷ್ಟೇ ಕಾಳಜಿ ವಹಿಸಿದರೂ ಹುಳುಗಳು ಹಲ್ಲುಗಳ ಮೇಲೆ ದಾಳಿ ಮಾಡಿ ಗಟ್ಟಿಯಾಗಿರುವ ಹಲ್ಲನ್ನು ಹುಳುಕುರೋಗಕ್ಕೊಳಪಡಿಸಿ ಬಿಡುತ್ತದೆ. ಜತೆಗೆ ಕರಗಿಸಿ ಬಿಡುತ್ತದೆ. ಇದು ಸಮಸ್ಯೆಯಾಗಿ ಪರಿಣಮಿಸಿ ಹಲ್ಲನ್ನು ಕೀಳುವ ತನಕ ಬಿಡಲಾರದೆ ಕಾಡಿಬಿಡುತ್ತದೆ. ಹೀಗಾಗಿ ಹುಳುಕನ್ನು ಹೋಗಲಾಡಿಸಿ ಹಲ್ಲನ್ನು ಕಾಪಾಡುವುದು ಕೆಲವೊಮ್ಮೆ ಸವಾಲಿನ ಕೆಲಸವಾಗಿಬಿಡುತ್ತದೆ. ಇಷ್ಟಕ್ಕೂ ಹಲ್ಲನ್ನು ಕಾಡುವ ಸೂಕ್ಷ್ಮ ಜೀವಿ ಸ್ಟ್ರೆಪ್ಟೊಕಾಕಸ್ ಮ್ಯೂಟ್ಯನ್ಸ್ ಸ್ವಲ್ಪ ಎಡವಿದರೂ ಹಲ್ಲನ್ನೇ ಇನ್ನಿಲ್ಲದಂತೆ ಮಾಡಿಬಿಡುತ್ತದೆ.
ಹಲ್ಲಿನ ಬಗ್ಗೆ ನಿರ್ಲಕ್ಷ್ಯ ವಹಿಸಿದಷ್ಟೂ ಸಂಕಷ್ಟ
ಇಷ್ಟಕ್ಕೂ ಈ ಸ್ಟ್ರೆಪ್ಟೊಕಾಕಸ್ ಮ್ಯೂಟ್ಯನ್ಸ್ ಎಂಬ ಸೂಕ್ಷ್ಮಾಣು ಜೀವಿ ಮನುಷ್ಯನ ಬಾಯಿ ಮತ್ತು ಜೊಲ್ಲಿನಲ್ಲಿ ಒಂದನೇ ವಯಸ್ಸಿನಿಂದಲೇ ಗೋಚರಿಸಲಾರಂಭಿಸುತ್ತದೆ. ಬಾಯೊಳಗೆ ಹಲ್ಲು ಮೂಡುವ ಸಮಯಕ್ಕೆ ಸರಿಯಾಗಿ ಬಾಯೊಳಗೆ ಪ್ರವೇಶ ಪಡೆಯುತ್ತದೆ. ಬಾಯಿಯ ಸ್ವಚ್ಛತೆ ಕಡಿಮೆಯಾದರೆ ಈ ಸೂಕ್ಷ್ಮಜೀವಿ ತನ್ನ ಚಟುವಟಿಕೆ ಶುರು ಮಾಡಿಕೊಳ್ಳುತ್ತದೆ.
ಒಂದು ವೇಳೆ ಬಾಯಲ್ಲಿ ಸಿಹಿ, ಸಕ್ಕರೆ, ಆಮ್ಲ ಪದಾರ್ಥಗಳ ಅಂಶ ಹೆಚ್ಚಾಯಿತು ಎಂದಿಟ್ಟುಕೊಳ್ಳಿ ಆಗ ಈ ರೋಗಾಣು ತನ್ನ ಚಟುವಟಿಕೆಯನ್ನು ತೀವ್ರಗತಿಯಲ್ಲಿ ಆರಂಭಿಸುತ್ತದೆ. ಹೀಗಾಗಿ ಯಾವುದೇ ಕಾರಣಕ್ಕೂ ನಾವು ಹಲ್ಲಿನ ಬಗ್ಗೆ ನಿರ್ಲಕ್ಷ್ಯ ತೋರದೆ ಸ್ವಚ್ಛತೆ ಕಾಪಾಡಿಕೊಳ್ಳುವುದು ಅಗತ್ಯವಾಗಿದೆ. ಏಕೆಂದರೆ ಹಲ್ಲಿನ ಬಗ್ಗೆ ನಿರ್ಲಕ್ಷ್ಯ ವಹಿಸಿದಷ್ಟೂ ಸೂಕ್ಷ್ಮಾಣು ಹಲ್ಲಿನ ಮೇಲೆ ದಾಳಿ ಮಾಡುವುದು ಹೆಚ್ಚುತ್ತಾ ಹೋಗುತ್ತದೆ.
ಹಲ್ಲಿನ ಸ್ವಚ್ಛತೆಗೆ ಆದ್ಯತೆ ನೀಡಿ
ಹಲ್ಲಿನ ಸ್ವಚ್ಛತೆಗೆ ಹೆಚ್ಚಿನ ಆದ್ಯತೆ ನೀಡಬೇಕು. ಅತಿಯಾದ ಸಕ್ಕರೆ ಅಂಶದ ಕಾಫಿ, ಟೀ ಸೇವನೆ ಒಳ್ಳೆಯದಲ್ಲ. ನೀರಿನಲ್ಲಿ ನಿಗದಿತ ಪ್ರಮಾಣಕ್ಕಿಂತ ಪ್ಲೋರೈಡ್ ಅಂಶ ಕಡಿಮೆ ಇರುವುದು, ಸವೆದ ಮುರಿದ ಹಲ್ಲು ವಕ್ರಹಲ್ಲು ಸಿಕ್ಕಿ ಬೀಳುವ ಜಾಗಗಳಾಗಿದ್ದು, ಅವುಗಳಿಗೆ ಚಿಕಿತ್ಸೆ ಪಡೆದುಕೊಳ್ಳಬೇಕು. ಅತಿಯಾದ ಅಂಟು ಪದಾರ್ಥ ಸೇವನೆ, ಚಾಕಲೇಟ್, ಐಸ್ ಕ್ರೀಂನಿಂದ ದೂರವಿದ್ದಷ್ಟು ಅನುಕೂಲ.
ಸಿಹಿ ಪದಾರ್ಥಗಳನ್ನು ಆದಷ್ಟು ಕಡಿಮೆ ಮಾಡಿ ಹಲ್ಲುಗಳಲ್ಲಿ ಆಹಾರ ಪದಾರ್ಥಗಳು ಸಿಕ್ಕಿ ಹಾಕಿಕೊಂಡರೆ ಬಾಯಿಯನ್ನು ಸ್ವಚ್ಛ ಮಾಡಿ ಆಹಾರದ ಕಣಗಳು ಅಲ್ಲಿ ಉಳಿಯದಂತೆ ನೋಡಿಕೊಳ್ಳಬೇಕು. ದಿನಕ್ಕೆರಳು ಅದರಲ್ಲೂ ಮುಕ್ಕಳಿಸಿ, ಬಾಯಿ ಸ್ವಚ್ಛಗೊಳಿಸಿ ಮಲಗುವ ಅಭ್ಯಾಸ ಮಾಡಿಕೊಂಡರೆ ಇನ್ನೂ ಒಳ್ಳೆಯದು. ಒಟ್ಟಾರೆ ಹೇಳಬೇಕೆಂದರೆ ನಮ್ಮ ಮುಖದ ಸೌಂದರ್ಯವನ್ನು ಹಲ್ಲುಗಳು ಹೆಚ್ಚಿಸುವುದರಿಂದ ಅವುಗಳತ್ತ ಕಾಳಜಿ ಬಹುಮುಖ್ಯವಾಗಿದೆ.












Click it and Unblock the Notifications