ಕರುಳಿಗೂ ಕೊರೊನಾ ಕಂಟಕ; ಗ್ಯಾಂಗ್ರಿನ್ ಎಚ್ಚರಿಕೆ ಕೊಟ್ಟ ವೈದ್ಯರು
ನವದೆಹಲಿ, ಜೂನ್ 02: ಕೊರೊನಾ ಸೋಂಕು ಇನ್ನಿತರ ಹಲವು ಆರೋಗ್ಯ ಸಮಸ್ಯೆಗಳಿಗೂ ನೆಪವಾಗುತ್ತಿದೆ. ಕೊರೊನಾ ಸೋಂಕಿನ ನಂತರ ಬ್ಲ್ಯಾಕ್ ಫಂಗಸ್ ಸಮಸ್ಯೆ ಕಾಣಿಸಿಕೊಂಡಿತು. ಆನಂತರ ವೈಟ್ ಫಂಗಸ್, ಯೆಲ್ಲೋ ಫಂಗಸ್ ಪ್ರಕರಣಗಳು ಪತ್ತೆಯಾಗಿದ್ದು, ಈ ಶಿಲೀಂಧ್ರ ಸೋಂಕು ಶ್ವಾಸಕೋಶದ ಸಾಮರ್ಥ್ಯವನ್ನೇ ಕುಂಠಿತಗೊಳಿಸುತ್ತದೆ ಎನ್ನಲಾಗಿದೆ.
ಇದಕ್ಕಿಂತ ಹೆಚ್ಚಾಗಿ ಕೈಕಾಲುಗಳು, ಹೃದಯ ಹಾಗೂ ಮೆದುಳಿನಲ್ಲಿ ರಕ್ತ ಹೆಪ್ಪುಗಟ್ಟುವಿಕೆಗೂ ಕಾರಣವಾಗುತ್ತಿದೆ ಎಂದು ತಜ್ಞರು ತಿಳಿಸಿದ್ದಾರೆ. ಆದರೆ ಇದೀಗ ಕರುಳಿನಲ್ಲಿಯೂ ರಕ್ತ ಹೆಪ್ಪುಗಟ್ಟುವಿಕೆ ಸಮಸ್ಯೆ ಪ್ರಕರಣಗಳು ಒಂದರ ನಂತರ ಒಂದರಂತೆ ದಾಖಲಾಗುತ್ತಿದ್ದು, ಕೊರೊನಾಗೂ ಕರುಳಿನಲ್ಲಿ ರಕ್ತ ಹೆಪ್ಪುಗಟ್ಟುವಿಕೆಗೂ ಸಂಬಂಧವಿದೆ ಎನ್ನುತ್ತಿದ್ದಾರೆ ವೈದ್ಯರು. ಈ ರಕ್ತ ಹೆಪ್ಪುಗಟ್ಟುವಿಕೆ ಸಮಸ್ಯೆ ಗುರುತಿಸದೇ ಹೋದ ಪಕ್ಷದಲ್ಲಿ ಗ್ಯಾಂಗ್ರಿನ್ ಆಗಿ ಜೀವಕ್ಕೇ ಕಂಟಕವಾಗುತ್ತದೆ ಎಂದು ಎಚ್ಚರಿಕೆ ನೀಡಿದ್ದಾರೆ. ಕರುಳಿಗೆ ಹೇಗೆ ಕೊರೊನಾ ಕಂಟಕವಾಗುತ್ತಿದೆ? ಮುಂದೆ ಓದಿ...

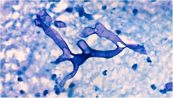
ಕರುಳಿನಲ್ಲಿ ರಕ್ತ ಹೆಪ್ಪುಗಟ್ಟುವಿಕೆ ಸಮಸ್ಯೆ
ಮುಂಬೈ ನಗರದ ಹಲವು ಆಸ್ಪತ್ರೆಗಳಲ್ಲಿ ಕರುಳಿನಲ್ಲಿ ರಕ್ತ ಹೆಪ್ಪುಗಟ್ಟುವಿಕೆ ಪ್ರಕರಣಗಳು ಕಂಡುಬರುತ್ತಿವೆ. ತೀವ್ರ ಹೊಟ್ಟೆ ನೋವು ಎಂದು ರೋಗಿಗಳು ಆಸ್ಪತ್ರೆಗೆ ಬರುತ್ತಿದ್ದು, ಅವರ ಕರುಳಿನಲ್ಲಿ ರಕ್ತ ಹೆಪ್ಪುಗಟ್ಟಿರುವ ಸಂಗತಿ ಬೆಳಕಿಗೆ ಬಂದಿದೆ. ಮುಂಬೈನಲ್ಲಿ ಇಂಥ ಸುಮಾರು ಹನ್ನೆರಡು ಪ್ರಕರಣಗಳು ಪತ್ತೆಯಾಗಿರುವುದಾಗಿ ತಿಳಿದುಬಂದಿದೆ.

ಕೊರೊನಾ ರೋಗಿಗಳಲ್ಲಿ ಗ್ಯಾಸ್ಟ್ರೊಇಂಟೆಸ್ಟಿನಲ್ ಸಮಸ್ಯೆ
ಕೊರೊನಾ ರೋಗಿಗಳಲ್ಲಿ ಗ್ಯಾಸ್ಟ್ರೊಇಂಟೆಸ್ಟಿನಲ್ ಸಮಸ್ಯೆ ಕಾಣಿಸಿಕೊಳ್ಳುತ್ತಿದೆ ಎಂದು ತಜ್ಞರು ಮಾಹಿತಿ ನೀಡಿದ್ದಾರೆ. ಸುಮಾರು 16-30% ಕೊರೊನಾ ರೋಗಿಗಳಿಗೆ ಕರುಳಿನಲ್ಲಿ ಸಮಸ್ಯೆ ಕಾಣಿಸಿಕೊಳ್ಳುತ್ತಿದೆ ಎಂದು ಅಧ್ಯಯನ ತಿಳಿಸಿವೆ. ಯಾವುದೇ ಲಕ್ಷಣಗಳನ್ನು ನೀಡದೇ ಈ ಸಮಸ್ಯೆ ಕಾಣಿಸಿಕೊಳ್ಳಬಹುದು. ಕಿಬ್ಬೊಟ್ಟೆಯಲ್ಲಿ ತೀವ್ರ ನೋವು ಕಾಣಿಸಿಕೊಳ್ಳುವ ಅಪರೂಪದ ಸಮಸ್ಯೆ (ಮೆಸೆಂಟೆರಿಕ್ ಇಷೆಮಿಯಾ) ಇದಾಗಿದೆ. ನಿರ್ಲಕ್ಷ್ಯ ಮಾಡಿದರೆ ಮರಣಕ್ಕೂ ತುತ್ತಾಗಬಹುದು ಎಂದು ಹೇಳಿದ್ದಾರೆ.

ಕೆಲ ಪ್ರಕರಣಗಳಲ್ಲಿ ಶಸ್ತ್ರಚಿಕಿತ್ಸೆ ಅವಶ್ಯಕ
ಕೊರೊನಾ ಕಾರಣವಾಗಿ ಸಣ್ಣ ಕರುಳಿಗೆ ರಕ್ತ ಸಂಚಲನೆಗೆ ಅಡ್ಡಿಯಾಗುತ್ತದೆ. ಹೀಗಾಗಿ ರಕ್ತ ಹೆಪ್ಪುಗಟ್ಟುವಿಕೆಯಾಗುತ್ತದೆ. ಇದನ್ನು ಚಿಕಿತ್ಸೆ ಮಾಡದೇ ಬಿಟ್ಟರೆ ಗ್ಯಾಂಗ್ರಿನ್ಗೆ ಎಡೆಮಾಡಿಕೊಡಬಹುದು. ತಕ್ಷಣ ಸೂಕ್ತ ಚಿಕಿತ್ಸೆ ನಡೆಸಬೇಕಾಗುತ್ತದೆ. ಹೊಟ್ಟೆ ನೋವು ಎಂದು ಬಂದ ರೋಗಿಗಳಿಗೆ ಸಿಟಿ ಸ್ಕ್ಯಾನ್ ನಡೆಸಿದಾಗ ಕರುಳಿನಲ್ಲಿ ರಕ್ತ ಹೆಪ್ಪುಗಟ್ಟುವಿಕೆ ಕಂಡುಬಂದಿದೆ. ಆದರೆ ಭಯ ಪಡುವಂತಿಲ್ಲ. ಇದಕ್ಕೆ ಸೂಕ್ತ ಔಷಧಿ ನೀಡಬೇಕು ಕೆಲವು ಪ್ರಕರಣಗಳಲ್ಲಿ ಶಸ್ತ್ರಚಿಕಿತ್ಸೆ ನಡೆಸಬೇಕಾಗುತ್ತದೆ.

ತೀವ್ರ ಹೊಟ್ಟೆ ನೋವು ಇದರ ಲಕ್ಷಣ
ಕೊರೊನಾ ರೋಗಿಗಳಲ್ಲಿ ಅಥವಾ ಕೊರೊನಾದಿಂದ ಗುಣಮುಖರಾದವರಲ್ಲಿಯೂ ಈ ಸಮಸ್ಯೆ ಕಾಣಿಸಿಕೊಳ್ಳಬಹುದು. ತೀವ್ರ ಹೊಟ್ಟೆ ನೋವು ಇದರ ಪ್ರಮುಖ ಲಕ್ಷಣವಾಗಿರುತ್ತದೆ. ತಕ್ಷಣವೇ ಸೂಕ್ತ ಚಿಕಿತ್ಸೆ ನೀಡದಿದ್ದರೆ ಇದು ಅಪಾಯಕಾರಿಯಾಗಬಹುದು. ಜೊತೆಗೆ ಇದರೆಡೆಗೆ ವೈದ್ಯಕೀಯ ಕ್ಷೇತ್ರ ತುರ್ತು ನಿಗಾ ವಹಿಸಬೇಕಿದೆ. ಗುಜರಾತ್ನಲ್ಲಿ ಇಂಥ ನೂರು ಪ್ರಕರಣಗಳು ಕಂಡುಬಂದಿದ್ದು, ಗಮನ ನೀಡುವುದು ಅವಶ್ಯಕ ಎನ್ನಲಾಗಿದೆ.
-
ರಾಶಿಯಷ್ಟೇ ಅಲ್ಲ, ದಿಕ್ಕು ಕೂಡಾ ಮುಖ್ಯ: ರಾಶಿಗನುಗುಣವಾಗಿ ನಿಮ್ಮ ಅದೃಷ್ಟ ದಿಕ್ಕು ಯಾವುದು ಗೊತ್ತಾ? -
ಮನೆ ಕಟ್ಟುವಾಗ ವಾಸ್ತು ಪಾಲಿಸದಿದ್ದರೆ ಏನಾಗುತ್ತದೆ? ಇಲ್ಲಿವೆ 5 ಪ್ರಮುಖ ನಿಯಮಗಳು -
Dhurandhar-2: ಸಕ್ಸಸ್ ಅಲೆಯಲ್ಲಿ ಧುರಂಧರ್ 2: ಫ್ಯಾನ್ಸ್ ಕುರಿತು ಸಾರಾ ಅರ್ಜುನ್ ಪೋಸ್ಟ್ -
Gold Price Drop: ವಾರದ ಮೊದಲ ದಿನವೇ ಚಿನ್ನ-ಬೆಳ್ಳಿ ದರ ಭರ್ಜರಿ ಕುಸಿತ, ಇಂದಿನ ದರಪಟ್ಟಿ -
Dhurandhar 2 Pakistan: ಅರಬ್ ರಾಷ್ಟ್ರದ ಸಾಲ ತೀರಿಸಲು ದುರಂಧರ್ 2 ಬಿಡುಗಡೆಗೆ ಮುಂದಾಯ್ತಾ ಪಾಕಿಸ್ತಾನ, ಟ್ವಿಸ್ಟ್ -
Lata Mangeshkar & Asha Bhosle: ಆ ಒಂದು ಕಾರಣಕ್ಕೆ ತಂಗಿ ಆಶಾ ಬೋಸ್ಲೆ ಜೊತೆ ಮಾತು ಬಿಟ್ಟಿದ್ದ ಲತಾ ಮಂಗೇಶ್ಕರ್ -
Karntaka Weather: ಹವಾಮಾನ ವೈಪರೀತ್ಯ! ರಾಜ್ಯದ ಒಳನಾಡು, ಕರಾವಳಿ ಜಿಲ್ಲೆಗಳಲ್ಲಿ ಮಳೆ ಮುನ್ಸೂಚನೆ -
Gas Booking New Rules: ಎಲ್ಪಿಜಿ ಗ್ಯಾಸ್ ಬುಕ್ಕಿಂಗ್ನಲ್ಲಿ ಹೊಸ ನಿಯಮ, ಎಷ್ಟು ದಿನಕ್ಕೆ ಸಿಗುತ್ತೆ ಗ್ಯಾಸ್ ಸಿಲಿಂಡರ್ -
Ram Gopal Varma: ದಾವೂದ್ ಇಬ್ರಾಹಿಂ ಇಲ್ಲದಿದ್ದರೆ ನಾನು ಬದುಕು ಕಟ್ಟಿಕೊಳ್ಳುತ್ತಿರಲಿಲ್ಲ: ನಿರ್ದೇಶಕ ರಾಮ್ ಗೋಪಾಲ್ ವರ್ಮಾ -
Asha Bhosle Kannada Songs: ಆಶಾ ಭೋಸ್ಲೆ ಹಾಡಿದ ಕನ್ನಡದ ಹಾಡುಗಳು: ಕರ್ನಾಟಕದ ಜನರ ಮನ ಗೆದ್ದ ಖ್ಯಾತ ಗಾಯಕಿ -
Banana Price: ತಮಿಳುನಾಡು ಬಿಸಿಗಾಳಿ ಎಫೆಕ್ಟ್ಗೆ ಕುಸಿದ ಬಾಳೆಹಣ್ಣು ಧಾರಣೆ: ಬೆಂಗಳೂರಿನಲ್ಲಿ ಕೆ.ಜಿಗೆ 7 ರೂಪಾಯಿ -
Summer Specail Train: ಮೈಸೂರಿನಿಂದ ಇಲ್ಲಿಗೆ ವಿಶೇಷ ಎಕ್ಸ್ಪ್ರೆಸ್ ರೈಲು, 3 ರಾಜ್ಯಗಳಿಗೆ ಅನುಕೂಲ












Click it and Unblock the Notifications