ಪಾಕ್ ಮಾಜಿ ಅಧ್ಯಕ್ಷ ಮುಫ್ರಪ್ ಗೆೆ ಅಂಟಿಕೊಂಡ ಅಮಿಲಾಯ್ಡೋಸಿಸ್ನ ಬಗ್ಗೆ ತಿಳಿಯಿರಿ
ಪಾಕಿಸ್ತಾನದ ಮಾಜಿ ಅಧ್ಯಕ್ಷ ಜನರಲ್ ಪರ್ವೇಜ್ ಮುಷ್ರಫ್ ಅನಾರೋಗ್ಯದಿಂದ ದುಬೈನ ಆಸ್ಪತ್ರೆಗೆ ದಾಖಲಾಗಿದ್ದಾರೆ. ಮೂರು ವಾರಗಳಿಂದ ಅನಾರೋಗ್ಯಕ್ಕೆ ತುತ್ತಾಗಿರುವ ಅವರು ಅಂಗಾಂಗಗಳು ಅಸಮರ್ಪಕ ರೀತಿಯಲ್ಲಿ ಕಾರ್ಯ ನಿರ್ವಹಿಸುತ್ತಿವೆ ಎಂಬು ಕುಟುಂಬ ಸದಸ್ಯರು ಹೇಳಿದ್ದಾರೆ.
ಮುಷ್ರಫ್ ಹೆಸರಿನ ಟ್ವಿಟ್ಟರ್ ಪೋಸ್ಟ್ ನಲ್ಲಿ ಅವರ ಕುಟುಂಬವು ಪಾಕಿಸ್ತಾನದ ಮಾಜಿ ಅಧ್ಯಕ್ಷರು ಅಮಿಲಾಯ್ಡೋಸಿಸ್ನಿಂದ ಬಳಲುತ್ತಿದ್ದಾರೆ. 78 ವರ್ಷ ವಯಸ್ಸಿನ ನಿವೃತ್ತ ಪಾಕಿಸ್ತಾನಿ ಜನರಲ್ ಆರೋಗ್ಯವಾಗಿರಲಿ ಎಂದು ಪ್ರಾರ್ಥಿಸುವಂತೆ ಜನರಲ್ಲಿ ಮನವಿ ಮಾಡಿಕೊಂಡಿದ್ದಾರೆ. "ಅವರು ವೆಂಟಿಲೇಟರ್ನಲ್ಲಿಲ್ಲ. ಕಳೆದ 3 ವಾರಗಳಿಂದ ಅವರು ಅಮಿಲೋಡೋಸಿಸ್ ಅನಾರೋಗ್ಯದಿಂದ ಆಸ್ಪತ್ರೆಗೆ ದಾಖಲಾಗಿದ್ದಾರೆ.
ಪಾಕಿಸ್ತಾನದ ಮಾಜಿ ಅಧ್ಯಕ್ಷ ಪರ್ವೇಜ್ ಮುಷ್ರಫ್ ಅನ್ನು ಕಾಡುತ್ತಿರುವ ಈ ಅಮಿಲಾಯ್ಡೋಸಿಸ್ ಎಂದರೇನು?, ಈ ಅಮಿಲಾಯ್ಡೋಸಿಸ್ನಿಂದ ಬಳಲುತ್ತಿರುವವರಲ್ಲಿ ಕಾಣಿಸಿಕೊಳ್ಳುವ ಲಕ್ಷಣಗಳು ಹೇಗಿರುತ್ತವೆ?, ಅಮಿಲಾಯ್ಡೋಸಿಸ್ನ ರೋಗಿಗಳ ಚಿಕಿತ್ಸೆ ವಿಧಾನ ಹೇಗಿರುತ್ತದೆ?, ಅಮಿಲಾಯ್ಡೋಸಿಸ್ ಕುರಿತು ತಿಳಿದುಕೊಳ್ಳಬೇಕಾಗಿರುವುದೇನು ಎಂಬುದನ್ನು ಮುಂದೆ ಓದಿರಿ.

ಏನಿದು ಅಮಿಲೋಯ್ಡೋಸಿಸ್?
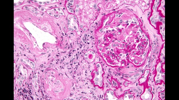
ಸಾಮಾನ್ಯವಾಗಿ ಈ ಅಮಿಲೋಯ್ಡೋಸಿಸ್ ಎನ್ನುವುದು ದೇಹದಾದ್ಯಂತ ಅಂಗಗಳು ಮತ್ತು ಅಂಗಾಂಶಗಳಲ್ಲಿ ಅಮಿಲಾಯ್ಡ್ ಎಂಬ ಅಸಹಜ ಪ್ರೋಟೀನ್ನ ರಚನೆಯಿಂದ ಉಂಟಾಗುವ ಅಪರೂಪದ, ಗಂಭೀರ ಪರಿಸ್ಥಿತಿಗಳನ್ನು ಸೃಷ್ಟಿಸುವ ಗುಂಪಿನ ಹೆಸರಾಗಿದೆ. ಅಮಿಲಾಯ್ಡ್ ಮೂಳೆ ಮಜ್ಜೆಯಲ್ಲಿ ಉತ್ಪತ್ತಿಯಾಗುವ ಅಸಹಜ ಪ್ರೋಟೀನ್ ಆಗಿದೆ. ಯಾವುದೇ ಅಂಗಾಂಶ ಅಥವಾ ಅಂಗದಲ್ಲಿ ಇದು ಹುಟ್ಟಿಕೊಳ್ಳಬಹುದು. ಅಮಿಲಾಯ್ಡ್ ಪ್ರೋಟೀನ್ಗಳ ರಚನೆಯಿಂದಾಗಿ ದೇಹದಲ್ಲಿ ಅಂಗಗಳು ಮತ್ತು ಅಂಗಾಂಶಗಳು ಸರಿಯಾಗಿ ಕೆಲಸ ಮಾಡುವುದಕ್ಕೆ ಕಷ್ಟವಾಗತ್ತದೆ. ಯುಕೆಯ ರಾಷ್ಟ್ರೀಯ ಆರೋಗ್ಯ ಸೇವೆ ಪ್ರಕಾರ, ಇದು ಅಂಗಾಂಗ ವೈಫಲ್ಯಕ್ಕೆ ಕಾರಣವಾಗುತ್ತದೆ.

ಹಲವು ರೋಗದ ಲಕ್ಷಣಗಳಿಗೆ ಅಮಿಲಾಯ್ಡೋಸಿಸ್ ಕಾರಣ
ಯುನೈಟೆಡ್ ಕಿಂಗ್ ಡಮ್ ರಾಷ್ಟ್ರೀಯ ಆರೋಗ್ಯ ಸೇವೆಯ ಪ್ರಕಾರ, AL ಅಮಿಲಾಯ್ಡೋಸಿಸ್ನ ಲಕ್ಷಣಗಳು ಯಾವ ಅಂಗಾಂಶಗಳು ಮತ್ತು ಅಂಗಗಳ ಮೇಲೆ ಪರಿಣಾಮ ಬೀರುತ್ತವೆ ಎಂಬುದರ ಮೇಲೆ ಅವಲಂಬಿಸಿರುತ್ತದೆ. ಈ ರೋಗಾಣು ಹುಟ್ಟಿನಿಂದಾಗಗಿ ಕಿಡ್ನಿ ವೈಫಲ್ಯ, ತೀವ್ರ ಹೃದಯಾಘಾತ ಸಂಬಂಧಿತ ಲಕ್ಷಣಗಳಿಗೂ ಕಾರಣವಾಗಿರುತ್ತದೆ. ಇದರ ಜೊತೆಗೆ ಇತರೆ ಹಲವು ರೋಗದ ಲಕ್ಷಣಗಳಿಗೆ ಇದು ಕಾರಣವಾಗುತ್ತೆ. ಯಾವ ರೀತಿ ಆರೋಗ್ಯ ಸಮಸ್ಯೆಗಳು ಮತ್ತು ರೋಗದ ಲಕ್ಷಣಗಳಿಗೆ ಈ ಅಮಿಲಾಯ್ಡೋಸಿಸ್ನ ಕಾರಣವಾಗುತ್ತದೆ ಎಂಬುದನ್ನು ಅರ್ಥ ಮಾಡಿಕೊಳ್ಳಬೇಕಿದೆ.

ಕಿಡ್ನಿ ವೈಫಲ್ಯಕ್ಕೆ ಅಮಿಲಾಯ್ಡೋಸಿಸ್ ಕಾರಣ
ಅಮಿಲಾಯ್ಡೋಸಿಸ್ನ ಹೆಚ್ಚಿನ ಜನರು ತಮ್ಮ ಮೂತ್ರಪಿಂಡಗಳಲ್ಲಿ ಅಮಿಲಾಯ್ಡ್ ಪ್ರೋಟೀನ್ಗಳ ಸಂಗ್ರಹವನ್ನು ಹೊಂದಿರುತ್ತಾರ. ಇದರಿಂದ ಮೂತ್ರಪಿಂಡ ವೈಫಲ್ಯದ ಅಪಾಯವನ್ನು ಎದುರಿಸುತ್ತಾರೆ. ಈ ಸಮಸ್ಯೆಯ ಜೊತೆಗೆ ಹಲವು ಆರೋಗ್ಯ ಸಮಸ್ಯೆಗಳನ್ನು ಸೂಚಿಸುವ ಲಕ್ಷಣಗಳು ರೋಗಿಗಳಲ್ಲಿ ಗೋಚರಿಸುತ್ತವೆ. ಅವುಗಳೆಂದರೆ,
* ಕಾಲುಗಳಲ್ಲಿ ನೀರು ತುಂಬಿಕೊಳ್ಳುವುದರಿಂದ ಊತ ಕಾಣಿಸಿಕೊಳ್ಳುತ್ತದೆ
* ಆಯಾಸ
* ದೌರ್ಬಲ್ಯ
* ಹಸಿವು ಆಗದಿರುವುದು

ಅಮಿಲಾಯ್ಡೋಸಿಸ್ನಿಂದ ಹೃದಯ ಸಂಬಂಧಿ ರೋಗ
ಹೃದಯದಲ್ಲಿ ಅಮಿಲಾಯ್ಡ್ ಪ್ರೋಟೀನ್ಗಳು ಸ್ನಾಯು ಗಟ್ಟಿಯಾಗಲು ಕಾರಣವಾಗಬಹುದು. ಇದರಿಂದಾಗಿ ದೇಹದ ಸುತ್ತಲೂ ರಕ್ತವನ್ನು ಪಂಪ್ ಮಾಡುವುದಕ್ಕೆ ಹೆಚ್ಚು ಕಷ್ಟವಾಗುತ್ತದೆ. ಇದು ಹೃದಯ ವೈಫಲ್ಯಕ್ಕೆ ಕಾರಣವಾಗಬಹುದು. ಅದೇ ರೀತಿ ಇತರೆ ಆರೋಗ್ಯ ಸಂಬಂಧಿ ಲಕ್ಷಣಗಳಿಗೂ ಇದು ಕಾರಣವಾಗಬಹುದು:
* ಉಸಿರಾಟದ ತೊಂದರೆ
* ಎಡಿಮಾ (ನೀರು ತುಂಬಿಕೊಳ್ಳುವುದು)
* ಅಸಹಜ ಹೃದಯ ಬಡಿತ
* ಹೃದಯ ಬಡಿತದಲ್ಲಿ ಅತಿಯಾದ ಏರಿಳಿತ

ಅಮಿಲಾಯ್ಡೋಸಿಸ್ನ ಇತರೆ ಲಕ್ಷಣ ಮತ್ತು ಆರೋಗ್ಯ ಸಮಸ್ಯೆ
ಈ ಅಮಿಲಾಯ್ಡೋಸಿಸ್ನ ಸಮಸ್ಯೆಯಿಂದಾಗಿ ಯಕೃತ್ತು, ಗುಲ್ಮ, ನರಗಳು ಅಥವಾ ಜೀರ್ಣಾಂಗ ವ್ಯವಸ್ಥೆಯಂತಹ ಇತರ ಪ್ರದೇಶಗಳಲ್ಲಿ ಅಮಿಲಾಯ್ಡ್ ಪ್ರೋಟೀನ್ಗಳು ಹೆಚ್ಚಾಗಬಹುದು. ಇಂಥ ಸಮಸ್ಯೆ ಉಳ್ಳವರಲ್ಲಿ ಈ ರೀತಿಯ ರೋಗದ ಲಕ್ಷಣಗಳು ಗೋಚರಿಸುತ್ತವೆ:
* ತಲೆತಿರುಗುವಿಕೆ ಅಥವಾ ಮೂರ್ಛೆ ಭಾವನೆ,
* ನಿಂತಿರುವ ಅಥವಾ ಕುಳಿತ ನಂತರ ಕಾಲುಗಳ ಮರಗಟ್ಟುವಿಕೆ ಅಥವಾ ಕೈ ಮತ್ತು ಕಾಲುಗಳಲ್ಲಿ ಜುಮ್ಮೆನಿಸುವಿಕೆ ಭಾವನೆ
* ವಾಕರಿಕೆ, ಅತಿಸಾರ ಅಥವಾ ಮಲಬದ್ಧತೆ
* ದೇಹದಲ್ಲಿನ ಭಾಗಳಲ್ಲಿ ಮರಗಟ್ಟುವಿಕೆ, ಜುಮ್ಮೆನಿಸುವಿಕೆ ಮತ್ತು ಮಣಿಕಟ್ಟು, ಕೈ ಮತ್ತು ಬೆರಳುಗಳಲ್ಲಿ ನೋವು
* ಅಮಿಲೋಯ್ಡೋಸಿಸ್ ಮೆದುಳಿನ ಮೇಲೆ ಪರಿಣಾಮ ಬೀರುವುದಿಲ್ಲ, ಆದ್ದರಿಂದ ಇದು ಮೆಮೊರಿ ಅಥವಾ ಆಲೋಚನೆಯೊಂದಿಗೆ ಯಾವುದೇ ಸಮಸ್ಯೆಗಳನ್ನು ಉಂಟು ಮಾಡುವುದಿಲ್ಲ. ಕೆಲವು ಸಂದರ್ಭಗಳಲ್ಲಿ, ಅಮಿಲೋಯ್ಡೋಸಿಸ್ ಅನ್ನು ಮಲ್ಟಿಪಲ್ ಮೈಲೋಮಾ ಎಂದು ಕರೆಯಲಾಗುವ ಮೂಳೆ ಕ್ಯಾನ್ಸರ್ಗೆ ಹೋಲಿಕೆ ಮಾಡಬಹುದು.

ಅಮಿಲಾಯ್ಡೋಸಿಸ್ ಎನ್ನುವುದು ಒಬ್ಬರಿಂದ ಒಬ್ಬರಿಗೆ ಹರಡುವುದಿಲ್ಲ
ಎಎಲ್ ಅಮಿಲೋಯ್ಡೋಸಿಸ್ ಮೂಳೆ ಮಜ್ಜೆಯಲ್ಲಿ ಕಂಡುಬರುವ ಕೆಲವು ಜೀವಕೋಶಗಳಲ್ಲಿನ ಅಸಹಜತೆಯಿಂದ ಉಂಟಾಗುತ್ತದೆ. ಇದನ್ನು ಪ್ಲಾಸ್ಮಾ ಜೀವಕೋಶಗಳು ಎಂದು ಕರೆಯಲಾಗುತ್ತದೆ. ಅಸಹಜ ಪ್ಲಾಸ್ಮಾ ಕೋಶಗಳು ಬೆಳಕಿನ ಸರಪಳಿ ಪ್ರೋಟೀನ್ಗಳ ಅಸಹಜ ರೂಪಗಳನ್ನು ಉತ್ಪಾದಿಸುತ್ತವೆ, ಇದು ರಕ್ತಪ್ರವಾಹಕ್ಕೆ ಪ್ರವೇಶಿಸುತ್ತದೆ ಮತ್ತು ಅಮಿಲಾಯ್ಡ್ ಅನ್ನು ರೂಪಿಸುತ್ತದೆ. ಈ ಆರೋಗ್ಯವಂತ ಜನರು ತಮ್ಮ ರಕ್ತದಲ್ಲಿ ಸಾಮಾನ್ಯ ಬೆಳಕಿನ ಸರಪಳಿ ಪ್ರೋಟೀನ್ಗಳನ್ನು ಹೊಂದಿರುತ್ತಾರೆ, ಅದು ಅವರ ನೈಸರ್ಗಿಕ ಪ್ರತಿಕಾಯ ಪ್ರೋಟೀನ್ಗಳ ಭಾಗವಾಗಿರುತ್ತದೆ. ಇವು ದೇಹವನ್ನು ಸೋಂಕಿನಿಂದ ರಕ್ಷಿಸಲು ಸಹಾಯ ಮಾಡುತ್ತವೆ.
AL ಅಮಿಲೋಯ್ಡೋಸಿಸ್ ರೋಗಿಗಳಲ್ಲಿನ ಅಸಹಜ ಬೆಳಕಿನ ಸರಪಳಿಗಳು ಥ್ರೆಡ್ ತರಹದ ರೀತಿಯಲ್ಲಿ (ಅಮಿಲಾಯ್ಡ್ ಫೈಬ್ರಿಲ್ಗಳು) ಒಟ್ಟಿಗೆ ಸೇರಿಕೊಳ್ಳುತ್ತವೆ, ಅದನ್ನು ದೇಹದಿಂದ ಸುಲಭವಾಗಿ ತೆರವುಗೊಳಿಸಲು ಸಾಧ್ಯವಾಗುವುದಿಲ್ಲ. ಕಾಲಾನಂತರದಲ್ಲಿ, ಅಮಿಲಾಯ್ಡ್ ಫೈಬ್ರಿಲ್ಗಳು ಅಂಗಾಂಶಗಳು ಮತ್ತು ಅಂಗಗಳಲ್ಲಿ AL ಅಮಿಲಾಯ್ಡ್ ಅನ್ನು ನಿರ್ಮಿಸುತ್ತವೆ. ಕ್ರಮೇಣ ಇದು ಸರಿಯಾಗಿ ಕಾರ್ಯನಿರ್ವಹಿಸುವುದನ್ನು ನಿಲ್ಲಿಸುತ್ತದೆ, ಹೀಗಾಗಿ AL ಅಮಿಲೋಯ್ಡೋಸಿಸ್ ಹಲವು ರೋಗಲಕ್ಷಣಗಳನ್ನು ಉಂಟುಮಾಡುತ್ತದೆ. ಇತರ ಕೆಲವು ವಿಧದ ಅಮಿಲೋಯ್ಡೋಸಿಸ್ ಗಿಂತ ಭಿನ್ನವಾಗಿ AL ಅಮಿಲೋಯ್ಡೋಸಿಸ್ ಆನುವಂಶಿಕವಾಗಿಲ್ಲ. ಆದ್ದರಿಂದ ಈ ಸ್ಥಿತಿಯನ್ನು ಹೊಂದಿರುವ ವ್ಯಕ್ತಿಯು ಅದನ್ನು ತಮ್ಮ ಮಕ್ಕಳಿಗೆ ರವಾನಿಸಲು ಸಾಧ್ಯವಿಲ್ಲ. ಅದೇ ರೀತಿ ಈ ರೋಗಾಣು ವ್ಯಕ್ತಿಯಿಂದ ವ್ಯಕ್ತಿಗೆ ಹರಡುವಂಥದ್ದೂ ಅಲ್ಲ ಎಂದು ತಜ್ಞರು ಹೇಳುತ್ತಾರೆ.

ಅಮಿಲೋಯ್ಡೋಸಿಸ್ ಸಮಸ್ಯೆಗೆ ಹೇಗಿರುತ್ತೆ ಚಿಕಿತ್ಸೆ?
ಜಗತ್ತಿನಲ್ಲಿ ಸದಸ್ಯಕ್ಕೆ ಅಮಿಲೋಯ್ಡೋಸಿಸ್ ಆರೋಗ್ಯ ಸಮಸ್ಯೆಗೆ ಪ್ರಸ್ತುತ ನಿಗದಿತ ಚಿಕಿತ್ಸೆ ವಿಧಾನ ಇರುವುದಿಲ್ಲ. ಅಮಿಲಾಯ್ಡ್ ಅನ್ನು ನೇರವಾಗಿ ತೆಗೆದುಹಾಕಲಾಗುವುದಿಲ್ಲ. ಆದರೆ ಹೆಚ್ಚಿನ ಅಸಹಜ ಪ್ರೋಟೀನ್ಗಳನ್ನು ಉತ್ಪಾದಿಸುವುದನ್ನು ನಿಲ್ಲಿಸಲು ಮತ್ತು ನಿಮ್ಮ ರೋಗಲಕ್ಷಣಗಳಿಗೆ ಚಿಕಿತ್ಸೆ ನೀಡಲು ಚಿಕಿತ್ಸೆಗಳಿವೆ. ಈ ಚಿಕಿತ್ಸೆಗಳು ನಿಮ್ಮಲ್ಲಿದ್ದ ಪ್ರೋಟೀನ್ ಅನ್ನು ಮತ್ತೆ ಉತ್ಪಾದಿಸುತ್ತದೆ, ಅದಕ್ಕೆ ಈ ಮೊದಲು ಅವು ನಾಶವಾಗುವುದಕ್ಕೆ ಎಷ್ಟು ಸಮಯವಾಗಿತ್ತೋ ಅಷ್ಟೇ ಸಮಯವನ್ನು ತೆಗೆದುಕೊಳ್ಳಲಾಗುತ್ತದೆ. ಇದರಿಂದ ಅಂಗಗಳ ಹಾನಿಯನ್ನು ತಡೆಯಲು ಸಹಾಯ ಮಾಡುತ್ತದೆ.
NHS ಪ್ರಕಾರ, ಹೆಚ್ಚಿನ ಸಂದರ್ಭಗಳಲ್ಲಿ, ಚಿಕಿತ್ಸೆಯು ಕೀಮೋಥೆರಪಿಯನ್ನು ಒಳಗೊಂಡಿರುತ್ತದೆ. ಕೀಮೋಥೆರಪಿಯು ಅಸಹಜ ಮೂಳೆ ಮಜ್ಜೆಯ ಕೋಶಗಳನ್ನು ಹಾನಿಗೊಳಿಸುತ್ತದೆ. ಅಮಿಲಾಯ್ಡ್ ಅನ್ನು ರೂಪಿಸುವ ಅಸಹಜ ಪ್ರೋಟೀನ್ಗಳ ಉತ್ಪಾದನೆಯನ್ನು ನಿಲ್ಲಿಸುತ್ತದೆ. ಕೀಮೋಥೆರಪಿ ಔಷಧಿಗಳ ಪರಿಣಾಮವನ್ನು ಹೆಚ್ಚಿಸಲು ಸಾಮಾನ್ಯವಾಗಿ ಸ್ಟೀರಾಯ್ಡ್ ಗಳನ್ನು ಕೀಮೋಥೆರಪಿಯೊಂದಿಗೆ ನೀಡಲಾಗುತ್ತದೆ.

ಯಾರು ಈ ಪರ್ವೇಜ್ ಮುಷ್ರಫ್?
ಪಾಕಿಸ್ತಾನದ ಅಧ್ಯಕ್ಷರಾಗಿದ್ದ ಪರ್ವೇಜ್ ಮುಷ್ರಫ್ 2001 ರಿಂದ 2008 ರವರೆಗೆ ಸೇವೆ ಸಲ್ಲಿಸಿದ್ದಾರೆ. ಮಾಜಿ ಸರ್ವಾಧಿಕಾರಿ ನಾಗರಿಕ ಸರ್ಕಾರದ ಅನುಮೋದನೆಯಿಲ್ಲದೆ ಕಾರ್ಗಿಲ್ ಕಾರ್ಯಾಚರಣೆಯನ್ನು ಪ್ರಾರಂಭಿಸಿದ್ದರು. ಕಾರ್ಗಿಲ್ ಆಪರೇಷನ್ ಮೂಲಕ ಭಾರತದೊಂದಿಗಿನ ಮಾತುಕತೆಯನ್ನು ಹಳಿತಪ್ಪಿಸಲು ಮುಷರಫ್ ಪ್ರಯತ್ನಿಸಿದ್ದರು ಎಂದು ಮಾಜಿ ಪ್ರಧಾನಿ ನವಾಜ್ ಷರೀಫ್ ಆಪ್ತರು ಹೇಳಿದ್ದರು. ಭಾರತ ಮತ್ತು ಪಾಕಿಸ್ತಾನ ವಿಭಜನೆಯ ನಂತರ, ಮುಷ್ರಫ್ ಅವರ ಕುಟುಂಬವು ಕರಾಚಿಯಲ್ಲಿ ನೆಲೆಸಿತು, ಅಲ್ಲಿ ಅವರು ಸೇಂಟ್ ಪ್ಯಾಟ್ರಿಕ್ ಶಾಲೆಯಲ್ಲಿ ವ್ಯಾಸಂಗ ಮಾಡಿದರು. ಅವರು ಕಾಕುಲ್ನಲ್ಲಿರುವ ಪಾಕಿಸ್ತಾನ್ ಮಿಲಿಟರಿ ಅಕಾಡೆಮಿಗೆ ಸೇರಿದ್ದು 1964ರಲ್ಲಿ ಸಂಸ್ಥೆಯಿಂದ ಪದವಿ ಪಡೆದರು. ನಂತರ ಅವರು ಪಾಕಿಸ್ತಾನದ ಸೇನೆಯಲ್ಲಿ ನೇಮಕಗೊಂಡಿದ್ದರು.
-
Sayali Surve: ಇಸ್ಲಾಂನಿಂದ ಹಿಂದೂ ಧರ್ಮಕ್ಕೆ ಮತಾಂತರಗೊಂಡ ಮಿಸ್ ಇಂಡಿಯಾ ಅರ್ಥ್ ವಿಜೇತೆ ಸಯಾಲಿ ಸುರ್ವೆ, ಕಾರಣವೇನು -
Bengaluru Property: ಬೆಂಗಳೂರಿನಲ್ಲಿ ಕಟ್ಟಡ ನಿಯಮ ಉಲ್ಲಂಘಿಸಿದ ಆಸ್ತಿದಾರರಿಗೆ ಜಿಬಿಎ - ಬಿಡಿಎ ಜಂಟಿ ಶಾಕ್ -
LPG Alternatives: ಎಲ್ಪಿಜಿ ಬೆಲೆ ಏರಿಕೆಗೆ ಹೆದರಬೇಡಿ: ನಮ್ಮಲ್ಲೇ ಇರುವ ಈ ಪರ್ಯಾಯ ಮಾರ್ಗಗಳನ್ನು ಅಳವಡಿಸಿಕೊಂಡು ಜಾಣರಾಗಿ -
Gold: ಗದಗ ಲಕ್ಕುಂಡಿಯಲ್ಲಿ ಪತ್ತೆಯಾದ ಚಿನ್ನದ ನಿಧಿ ಪ್ರಕರಣಕ್ಕೆ ಟ್ವಿಸ್ಟ್: ಮೌಲ್ಯ 10 ಪಟ್ಟು ಹೆಚ್ಚು, ವಿಜಯನಗರ ಕಾಲದ ಆಭರಣ -
ಜಿಮ್ನಲ್ಲಿ ಭೇಟಿ, ಸಾಫ್ಟ್ವೇರ್ ಕಂಪನಿ ಕೆಲಸ: 7,500 ರೂ. ಸಂಬಳ ಪಡೆಯುತ್ತಿದ್ದ ಅಶ್ವಿನಿ ಅಪ್ಪು ಮನಗೆದ್ದಿದ್ದು ಹೇಗೆ? -
Vehicle Loan: ವಾಹನ ಮಾಲೀಕರಿಗೆ ಗುಡ್ನ್ಯೂಸ್: ಸಾಲ ಪ್ರಕ್ರಿಯೆ, ಆರ್ಸಿ ಅಪ್ಡೇಟ್ಗೆ ಇನ್ಮುಂದೆ ಆನ್ಲೈನ್ ವ್ಯವಸ್ಥೆ -
Horoscope March 11: ಈ ರಾಶಿಯವರಿಗೆ ಸಿಗಲಿವೆ ಹೊಸ ಅವಕಾಶಗಳು, ಬುದಕಿನಲ್ಲಿ ಯಶಸ್ಸು; ಇಂದಿನ ದಿನ ಭವಿಷ್ಯ -
KEA PGNEET: ಕೆಇಎಯಿಂದ ಮತ್ತೊಂದು ಸುತ್ತಿನ ಸೀಟು ಹಂಚಿಕೆ; 783 ವೈದ್ಯಕೀಯ ಸೀಟುಗಳು ಬಾಕಿ -
ವಾಸ್ತು: ದಕ್ಷಿಣ ಗೇಟು ಶುಭವೋ ಅಥವಾ ಅಶುಭವೋ, ಉತ್ತರ ದ್ವಾರದ ವಾಸ್ತು ರಹಸ್ಯಗಳೇನು ಇಲ್ಲಿದೆ ಸಂಪೂರ್ಣ ಮಾಹಿತಿ -
ದಯಾಮರಣಕ್ಕೆ ಸುಪ್ರೀಂ ಕೋರ್ಟ್ ಅಸ್ತು: 13 ವರ್ಷಗಳಿಂದ ಹಾಸಿಗೆ ಹಿಡಿದಿದ್ದ ಮಗನಿಗೆ ಮುಕ್ತಿ ನೀಡಲು ಕೋರಿದ್ದ ಪೋಷಕರು -
ಮತ್ತೆ ಶುರುವಾಗುತ್ತಾ ವರ್ಕ್ ಫ್ರಂ ಹೋಮ್? ಇಂಧನ ಕೊರತೆ ಬೆನ್ನಲ್ಲೇ ಹಲವು ದೇಶಗಳಲ್ಲಿ ಕಚೇರಿಗಳಿಗೆ ನಿರ್ಬಂಧ -
ಬೇಸಿಗೆಯಲ್ಲಿ ನೀವು ಚಿಲ್ಡ್ ಬಿಯರ್ ಕುಡಿಯುತ್ತೀರಾ, ಬಾಟಲ್ ಕೆಳಗಿಟ್ಟು ಇದನ್ನು ಓದಿ












Click it and Unblock the Notifications