ಚಿಕ್ಕಂದಿನಿಂದಲೂ ಮಹಿಳೆಯ ನೆತ್ತಿಯ ಮೇಲೆ ಬೆಳೆದಿದ್ದ 'ಮಾರ್ಬಲ್ಸ್' ತೆಗೆದ ಬೆಂಗಳೂರಿನ ವೈದ್ಯರು
ಬೆಂಗಳೂರು ಆಗಸ್ಟ್ 3: ಇತ್ತೀಚೆಗೆ ಬೆಂಗಳೂರಿನ ವೈದ್ಯರು ಮಹಿಳೆಯೊಬ್ಬರಿಗೆ ಶಸ್ತ್ರಚಿಕಿತ್ಸೆ ನಡೆಸಿದರು. ಇದೊಂದು ಅಸಹಜ ಹಾಗೂ ಅಸಮಾನ್ಯ ಶಸ್ತ್ರಚಿಕಿತ್ಸೆಯಾಗಿದೆ. ಮಹಿಳೆಯ ತಲೆಯ ಮೇಲೆ ಬೆಳೆದಿದ್ದ 'ಮಾರ್ಬಲ್ಸ್' ಅನ್ನ ವೈದ್ಯರು ಶಸ್ತ್ರಚಿಕಿತ್ಸೆಯ ಮೂಲಕ ತೆಗೆದಿದ್ದಾರೆ. ಇದು "ಮಾರ್ಬಲ್ಗಳ ಚೀಲ" ದಂತೆ ಕಾಣುತ್ತದೆ. ಸತ್ಯ ಸಾಯಿ ಇನ್ಸ್ಟಿಟ್ಯೂಟ್ ಆಫ್ ಹೈಯರ್ ಮೆಡಿಕಲ್ ಸೈನ್ಸನ ವೈದ್ಯರು ಈ ಕೇಸ್ ಬಗ್ಗೆ ವಿವರಿಸಿದ್ದಾರೆ.
ಶಸ್ತ್ರಚಿಕಿತ್ಸೆಗೆ ಒಳಗಾದ ಮಹಿಳೆಯ ವಯಸ್ಸು 52 ವರ್ಷ. ಬಾಲ್ಯದಿಂದಲೂ ಆಕೆಯ ನೆತ್ತಿಯ ಮೇಲೆ ಪ್ರೋಟ್ಯೂಬರನ್ಸ್ ಬೆಳೆಯುತ್ತಿತ್ತು. ಒಂದು ರೀತಿಯ ಗಡ್ಡೆ. ಆದರೆ ಅವರು ಇಲ್ಲಿಯವರೆಗೆ ವೈದ್ಯಕೀಯ ಸಹಾಯವನ್ನು ಕೇಳಲಿಲ್ಲ. ಸುಮಾರು 6 ಇಂಚು ಉದ್ದ, 4 ಇಂಚು ಅಗಲ ಮತ್ತು ಸುಮಾರು 5 ಇಂಚು ಎತ್ತರದವರೆಗೆ ಅದು ಬೆಳೆದಿತ್ತು. ಈ ನೆತ್ತಿಯ ಊತ ನೋವುರಹಿತವಾಗಿತ್ತಾಗಿದ್ದರಿಂದ ಮಹಿಳೆ ಅದರ ಬಗ್ಗೆ ಅಷ್ಟಾಗಿ ತಲೆ ಕೆಡಿಸಿಕೊಂಡಿರಲಿಲ್ಲ ಎಂದು ವೈದ್ಯರು ಈ ಬಗ್ಗೆ ವಿವರಿಸುವಾಗ ಹೇಳಿದರು.

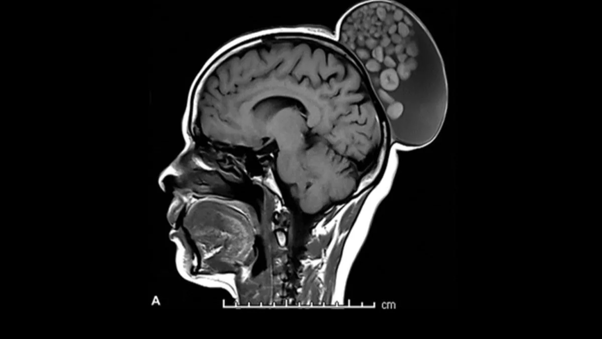
ಎಂಆರ್ಐ ಸ್ಕ್ಯಾನ್ ಮಹಿಳೆಯ ತಲೆಯ ಹಿಂಭಾಗದಲ್ಲಿ ಮಾಂಸಭರಿತ ಕೂದಲಿನ ಬನ್ನಂತೆ ಚೀಲವನ್ನು ತೋರಿಸಿತ್ತು. ಅದರ ಬೆಳವಣಿಗೆ ಹೆಚ್ಚಾಗುತ್ತಿದ್ದರಿಂದ ಆ ಬೆಳವಣಿಗೆಯ ಮಾಂಸವನ್ನು ತೆಗೆದುಹಾಕಲಾಯಿತು. ಶಸ್ತ್ರ ಚಿಕಿತ್ಸೆಯ ಬಳಿಕ ಆ ಮಾಂಸ ದ್ರವ, ಕೂದಲು ಮತ್ತು ಕೊಬ್ಬಿನ ಅಣುಗಳಿಂದ ದಪ್ಪವಾದ ಹೊರ ಮಾಂಸದಿಂದ ಕೂಡಿತ್ತು ಎಂದು ವೈದ್ಯರು ತಿಳಿಸಿದ್ದಾರೆ. ಜೊತೆಗೆ ಅದು ವಿವಿಧ ಗಾತ್ರದ ಕೆರಾಟಿನ್ ಚೆಂಡುಗಳಿಂದ ತುಂಬಿರುವುದನ್ನು ವೈದ್ಯರು ಗಮನಿಸಿದರು.
ಕೆರಾಟಿನ್ ಒಂದು ಪ್ರೋಟೀನ್ ಆಗಿದ್ದು ಅದು ಕೂದಲು, ಉಗುರುಗಳು ಮತ್ತು ಚರ್ಮದ ಹೊರ ಪದರಕ್ಕೆ ಆಧಾರವಾಗಿದೆ. ಕ್ಲೀವ್ಲ್ಯಾಂಡ್ ಕ್ಲಿನಿಕ್ ಪ್ರಕಾರ, ದ್ರವ್ಯರಾಶಿಗಳ ಈ ಸಣ್ಣ ಚೆಂಡುಗಳನ್ನು ವೈಜ್ಞಾನಿಕ ವಲಯಗಳಲ್ಲಿ ಡರ್ಮಾಯ್ಡ್ ಚೀಲಗಳು ಎಂದು ಕರೆಯಲಾಗುತ್ತದೆ. ಅವು ಮೂಲಭೂತವಾಗಿ ಭ್ರೂಣದ ಕೋಶಗಳಿಂದ ಬೆಳವಣಿಗೆಯಾಗುವ ಅಂಗಾಂಶಗಳ ಗೋಳಗಳಾಗಿವೆ ಮತ್ತು ಅವುಗಳು "ಕೂದಲು, ಹಲ್ಲುಗಳು ಅಥವಾ ನರಗಳನ್ನು" ಒಳಗೊಂಡಿರಬಹುದು. ಈ ಗೋಳಗಳು ಸಾಮಾನ್ಯವಾಗಿ ತಲೆ ಮತ್ತು ಕುತ್ತಿಗೆಯಲ್ಲಿ ಬೆಳವಣಿಗೆಯಾಗುತ್ತವೆ. ಆದರೆ ಇವು ರೋಗಿಯ ಅಂಡಾಶಯಗಳು ಅಥವಾ ದೇಹದ ಇತರ ಭಾಗಗಳಲ್ಲಿಯೂ ಇರಬಹುದು.
ಈ ಜನ್ಮಜಾತ ಗೋಳಗಳು ಏಕೆ ಮೊಳಕೆಯೊಡೆಯುತ್ತವೆ ಎಂಬುದು ಇನ್ನೂ ಸ್ಪಷ್ಟವಾಗಿಲ್ಲ. ಆದಾಗ್ಯೂ, ವೈದ್ಯರ ಪ್ರಕಾರ ಅವು ಸಾಮಾನ್ಯವಾಗಿ ನಿರುಪದ್ರವ ಮತ್ತು ನೋವುರಹಿತವಾಗಿರುತ್ತವೆ. ಇವು ಹತ್ತಿರದ ಮೂಳೆಗಳಿಗೆ ಹಾನಿಯಾಗುವ ತೊಡಕುಗಳನ್ನು ಉಂಟುಮಾಡಬಹುದು.
ಬೆಂಗಳೂರು ಮಹಿಳೆಯ ಪ್ರಕರಣದಲ್ಲಿ, ರೋಗಿಯು ತನ್ನ ಊತವನ್ನು ಪರೀಕ್ಷಿಸಲು ಏಕೆ ಇಷ್ಟು ದಿನ ಕಾಯುತ್ತಿದ್ದರು ಎಂಬುದನ್ನು ಅಧ್ಯಯನವು ಬಹಿರಂಗಪಡಿಸಲಿಲ್ಲ. ಆದಾಗ್ಯೂ, ಬೆಳವಣಿಗೆಯು ನೋವುರಹಿತವಾಗಿದೆ ಎಂದು ವೈದ್ಯರು ಹೇಳಿದ್ದಾರೆ. ಬೆಳವಣಿಗೆಯನ್ನು ಯಶಸ್ವಿಯಾಗಿ ತೆಗೆದುಹಾಕಿದ ನಂತರ, ವೈದ್ಯರು ಆರು ತಿಂಗಳ ಕಾಲ ಆಕೆಯ ಪ್ರಗತಿಯ ಮೇಲೆ ಟ್ಯಾಬ್ಗಳನ್ನು ಇಟ್ಟುಕೊಂಡಿದ್ದಾರೆ. ನಂತರ ಅವರು ಬೆಳವಣಿಗೆಯ ಯಾವುದೇ ಪುನರಾವರ್ತನೆ ಇಲ್ಲ ಎಂದು ವೈದ್ಯರು ತಿಳಿಸಿದ್ದಾರೆ.












Click it and Unblock the Notifications