Teeth Tips: ಪ್ರತಿದಿನ ಹಲ್ಲುಜ್ಜಿದರೂ ಹಲ್ಲುಗಳು ಹಳದಿಯೇ? ನಗು ಮಾಸದಿರಲು ದಂತ ವೈದ್ಯರ ಸಲಹೆ ಪಾಲಿಸಿ
Health Tips: ಸೌಂದರ್ಯದಲ್ಲಿ ಮುಖದ ಪಾತ್ರವೆಷ್ಟು ಮುಖ್ಯವೋ ಬಾಯಲ್ಲಿನ ಹಲ್ಲುಗಳ ಪಾತ್ರವು ಅಷ್ಟೇ ಮುಖ್ಯವಾಗಿರುತ್ತದೆ. ನಕ್ಕಾಗ ಬೆಳ್ಳಗಿನ ಮತ್ತು ಹೊಳೆಯುವ ಸುಂದರ ಹಲ್ಲುಗಳು ಕಾಣುವುದು ಕೂಡ ಸೌಂದರ್ಯಕ್ಕೆ ಪೂರಕವಾಗಿದೆ. ಆದರೆ, ನೀವು ಎಷ್ಟೇ ದುಬಾರಿ ಪೇಸ್ಟ್ ಬಳಸಿ ದಿನವೂ ಹಲ್ಲುಜ್ಜಿದರೂ ಹಲ್ಲುಗಳು ಹಳದಿಯಾಗುತ್ತಿವೆಯೇ? ಹಾಗಾದರೆ ನೀವು ಗಮನಿಸಲೇಬೇಕಾದ ಕೆಲವು ಅಂಶಗಳು, ಸಲಹೆಗಳು ಇಲ್ಲಿವೆ.
ಬಾಯಿಯನ್ನು ದೇಹದ ಆರೋಗ್ಯದ ಕೈಗನ್ನಡಿ ಎಂದು ಕರೆಯಲಾಗುತ್ತದೆ. ಹಲ್ಲುಗಳ ಬಣ್ಣ ಬದಲಾಗುವುದರ ಹಿಂದೆ ಕೇವಲ ಸ್ವಚ್ಛತೆಯ ಕೊರತೆ ಮಾತ್ರವಲ್ಲ, ಇನ್ನೂ ಹಲವು ಆಂತರಿಕ ಹಾಗೂ ಬಾಹ್ಯ ಕಾರಣಗಳಿರಬಹುದು ಎಂದು ವಿವರಿಸುತ್ತಾರೆ ಬೆಂಗಳೂರಿನ ಹ್ಯಾಪಿಯೆಸ್ಟ್ ಪರ್ಲ್ಸ್ನ ಯುನಿಟ್ ಹೆಡ್ ಆಗಿರುವ ದಂತ ತಜ್ಞೆ ಡಾ. ಶ್ರದ್ಧಾ ಬಹಿರ್ವಾನಿ.

ಹಲ್ಲು ಹಳದಿ ಆಗಲು ಪ್ರಮುಖ ಕಾರಣಗಳೇನು?
ಹಲ್ಲುಗಳ ನೈಸರ್ಗಿಕ ಬಣ್ಣ ಮಾಸಲು ವಯಸ್ಸು, ಅನುವಂಶೀಯತೆ, ನಾವು ಸೇವಿಸುವ ಆಹಾರ ಹಾಗೂ ಜೀವನಶೈಲಿ ಎಲ್ಲವುಗಳು ನೇರ ಕಾರಣಗಳಾಗಿರುತ್ತವೆ.
* ಅನುವಂಶೀಯತೆ ಮತ್ತು ವಯಸ್ಸು: ಕೆಲವರಿಗೆ ಜನ್ಮತಃ ಹಲ್ಲಿನ ಹೊರಪದರ (ಎನಾಮಲ್) ತೆಳುವಾಗಿರುತ್ತದೆ. ವಯಸ್ಸಾದಂತೆಯೂ ಈ ಪದರ ಸವೆಯುತ್ತದೆ. ಆಗ ಹಲ್ಲಿನ ಒಳಭಾಗದಲ್ಲಿರುವ 'ಡೆಂಟಿನ್' ಎಂಬ ಹಳದಿ ಪದರ ಎದ್ದು ಕಾಣುತ್ತದೆ. ಇದರಿಂದ ಹಲ್ಲುಗಳು ಸಹಜವಾಗಿಯೇ ಹಳದಿಯಾಗಿ ಕಾಣುತ್ತವೆ.
* ದೈನಂದಿನ ಆಹಾರ ಪದ್ಧತಿ: ಅತಿಯಾಗಿ ಟೀ, ಕಾಫಿ, ವೈನ್ ಕುಡಿಯುವ ಅಭ್ಯಾಸ, ತಂಪು ಪಾನೀಯಗಳು ಹಾಗೂ ಕೃತಕ ಬಣ್ಣವಿರುವ ಆಹಾರಗಳ ಸೇವನೆಯಿಂದ ಹಲ್ಲುಗಳ ಮೇಲೆ ಕಲೆಗಳು ಉಂಟಾಗುವುದು ಹೆಚ್ಚು. ದೀರ್ಘಕಾಲದವರೆಗೆ ಇದು ಮುಂದುವರಿದರೆ ಕಲೆಗಳು ಹಲ್ಲಿನ ಆಳಕ್ಕೆ ಇಳಿದುಬಿಡುತ್ತವೆ.

* ಜೀವನಶೈಲಿ ಮತ್ತು ದುಶ್ಚಟಗಳು: ಧೂಮಪಾನ, ಇ-ಸಿಗರೇಟ್ ಹಾಗೂ ತಂಬಾಕು ಸೇವನೆಯಿಂದ ಅದರಲ್ಲಿರುವ ನಿಕೋಟಿನ್ ಅಂಶ ಹಲ್ಲುಗಳಿಗೆ ಅಂಟಿಕೊಳ್ಳುತ್ತದೆ. ಇದು ಎಷ್ಟೇ ಬ್ರಷ್ ಹಿಡಿದು ತಿಕ್ಕಿದರೂ ಹೋಗದಂತಹ ಕಲೆಗಳಾಗಿ ಬಿಡುತ್ತವೆ. ಜೊತೆಗೆ ಹಲ್ಲಿನ ಮೇಲೆ 'ಟಾರ್ಟರ್' ಎಂಬ ಗಟ್ಟಿ ಪದರ ಕೂಡ ಹಲ್ಲುಗಳ ಅಂದ ಕೆಡಿಸುತ್ತದೆ.
* ನೀರಿನಲ್ಲಿರುವ ಫ್ಲೋರೈಡ್ (ಫ್ಲೋರೋಸಿಸ್): ಬಾಲ್ಯದಲ್ಲಿ ಕುಡಿಯುವ ನೀರಿನಲ್ಲಿ, ಅದರಲ್ಲೂ ವಿಶೇಷವಾಗಿ ಬಾವಿ ನೀರಿನಲ್ಲಿ ಫ್ಲೋರೈಡ್ ಅಂಶ ಹೆಚ್ಚಾಗಿದ್ದರೆ ಹಲ್ಲಿನ ಬಣ್ಣ ಬದಲಾಗುತ್ತದೆ. ಇದನ್ನು 'ಫ್ಲೋರೋಸಿಸ್' ಎಂದು ಕರೆಯಲಾಗುತ್ತದೆ.
* ಔಷಧಿಗಳು ಮತ್ತು ಹಲ್ಲಿನ ಮೇಲೆ ಬಿದ್ದ ಏಟು: ಟೆಟ್ರಾಸೈಕ್ಲಿನ್ನಂತಹ ಕೆಲವು ಔಷಧಿಗಳು ಹಾಗೂ ಐರನ್ ಮಾತ್ರೆಗಳ ಸೇವನೆಯೂ ಹಲ್ಲುಗಳ ಬಣ್ಣದ ಮೇಲೆ ಪರಿಣಾಮ ಬೀರುತ್ತದೆ. ಅಲ್ಲದೆ, ಅಪಘಾತ ಅಥವಾ ಇತರೆ ಕಾರಣಗಳಿಂದ ಹಲ್ಲಿಗೆ ಪೆಟ್ಟಾದರೂ ಹಲ್ಲು ಕಪ್ಪಾಗುವ ಅಥವಾ ಹಳದಿಯಾಗುವ ಸಾಧ್ಯತೆ ಇರುತ್ತದೆ.
ಈ ಸಮಸ್ಯೆಗೆ ವೈದ್ಯಕೀಯ ಪರಿಹಾರಗಳೇನು?
ಹಲ್ಲು ಹಳದಿಯಾಗಲು ನಿಖರ ಕಾರಣವೇನು ಎಂಬುದನ್ನು ಪತ್ತೆಹಚ್ಚಿ ದಂತ ವೈದ್ಯರು ಚಿಕಿತ್ಸೆ ನೀಡುತ್ತಾರೆ. ನೀವು ದಂತ ವೈದ್ಯರನ್ನು ಸಂಪರ್ಕಿಸಬೇಕಾಗುತ್ತದೆ.
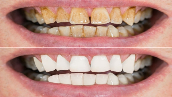
* ಮೇಲ್ಮೈ ಕಲೆಗಳನ್ನು ಹೋಗಲಾಡಿಸಲು ಮತ್ತು ಟಾರ್ಟರ್ ನಿವಾರಿಸಲು 'ಪ್ರೊಫೆಷನಲ್ ಕ್ಲೀನಿಂಗ್' ಮತ್ತು ಹಲ್ಲುಗಳನ್ನು ಬೆಳ್ಳಗಾಗಿಸಲು 'ಬ್ಲೀಚಿಂಗ್' ಮಾಡುತ್ತಾರೆ.
* ಫ್ಲೋರೋಸಿಸ್ ಅಥವಾ ಅತಿಯಾದ ಕಲೆಗಳಿಂದ ಹಲ್ಲುಗಳು ಆಂತರಿಕವಾಗಿ ಹಾಳಾಗಿದ್ದರೆ, ಅಂತವರಿಗೆ ಕಾಸ್ಮೆಟಿಕ್ ಚಿಕಿತ್ಸೆಗಳಾದ 'ವೆನೀರ್ಸ್', 'ಲ್ಯಾಮಿನೇಟ್ಸ್' ಅಥವಾ 'ಸೆರಾಮಿಕ್ ಕ್ರೌನ್'ʼಗಳನ್ನು ಶಿಫಾರಸು ಮಾಡಲಾಗುತ್ತದೆ.
* ಹಲ್ಲಿಗೆ ಪೆಟ್ಟಾಗಿ ನರಗಳಿಗೆ ಹಾನಿಯಾಗಿದ್ದರೆ, ರೂಟ್ ಕೆನಾಲ್ ಚಿಕಿತ್ಸೆಯ ಅಗತ್ಯವಿರುತ್ತದೆ.
ಸ್ವತಃ ಕೈಗೊಳ್ಳಬಹುದಾದ ಮುನ್ನೆಚ್ಚರಿಕೆಗಳು, ಸಲಹೆ ಇಲ್ಲಿವೆ
1. ಹಲ್ಲುಗಳ ಆರೋಗ್ಯ ಕಾಪಾಡಿಕೊಳ್ಳುವುದು ನಮ್ಮ ದಿನನಿತ್ಯದ ಅಭ್ಯಾಸಗಳಲ್ಲೇ ರೂಢಿಸಿಕೊಳ್ಳಬೇಕು.
2. ದಿನಕ್ಕೆ ಕಡ್ಡಾಯವಾಗಿ ಎರಡು ಬಾರಿ ಬ್ರಷ್ ಮಾಡಿ
3. ಏನಾದರೂ ತಿಂದ ನಂತರ ಅಥವಾ ಊಟವಾದ ತಕ್ಷಣ ಕಡ್ಡಾಯವಾಗಿ ಬಾಯಿ ಮುಕ್ಕಳಿಸುವ ಅಭ್ಯಾಸ ರೂಢಿಸಿಕೊಳ್ಳಿ.
4. ಹಲ್ಲಿಗೆ ಕಲೆಗಳನ್ನು ಉಂಟು ಮಾಡುವ ಪಾನೀಯಗಳು ಹಾಗೂ ಆಹಾರವನ್ನು ಮಿತವಾಗಿ ಸೇವಿಸಿ.
5. ಸಾಕಷ್ಟು ನೀರು ಕುಡಿಯುವುದು ಬಾಯಿಯ ಆರೋಗ್ಯಕ್ಕೆ ಬಹಳ ಒಳ್ಳೆಯದು.
6. ವರ್ಷಕ್ಕೆ ಕನಿಷ್ಠ ಎರಡು ಬಾರಿಯಾದರೂ ದಂತ ವೈದ್ಯರನ್ನು ಭೇಟಿಯಾಗಿ ತಪಾಸಣೆ ಮಾಡಿಸಿಕೊಳ್ಳಿ. ಅಗತ್ಯವಿದ್ದಲ್ಲಿ ತಜ್ಞರ ಸಲಹೆಯಂತೆ ಪ್ರೊಫೆಷನಲ್ ವೈಟನಿಂಗ್ ಚಿಕಿತ್ಸೆ ಪಡೆಯಬಹುದು.
"ಆರೋಗ್ಯವಂತ ಬಾಯಿ, ಆರೋಗ್ಯವಂತ ದೇಹದ ಅಡಿಪಾಯವಿದ್ದಂತೆ. ಹಲ್ಲುಗಳ ನೈಸರ್ಗಿಕ ಸೌಂದರ್ಯವನ್ನು ಕಾಪಾಡಿಕೊಳ್ಳಲು ಸರಿಯಾದ ಕಾಳಜಿ ಮತ್ತು ಸಕಾಲದಲ್ಲಿ ತಜ್ಞರ ಮಾರ್ಗದರ್ಶನ ಪಡೆಯುವುದು ಬಹಳ ಮುಖ್ಯ" ಎಂದು ದಂತ ವೈದ್ಯೆ ಡಾ. ಶ್ರದ್ಧಾ ಬಹಿರ್ವಾನಿ ಅವರು ತಿಳಿಸಿದ್ದಾರೆ.














Click it and Unblock the Notifications